
连锁咨询热线
0755-29989525QQ预约
1130765724
时间:2018-11-11 浏览次数:8714 来源:尔睦口腔连锁官方
就诊患者:娇娇(15岁)
治疗项目:牙齿矫正结合美白治疗
15岁的女孩在妈妈的陪同下,想要解决牙齿排列不齐的问题。妈妈带着小女孩来到尔睦口腔医院正畸科就诊,找到肖院长。
母女俩在网上查询到肖院长在牙齿不齐的正畸方面经验丰富,更为可贵的是肖医生在为每一位患者设计治疗方案时,都是从面部美学方面入手。
为了让孩子和妈妈能够看到牙齿矫正带来的变化,肖院长在给小女孩做牙齿矫正的同时,也配合运用了牙齿美白技术。
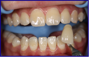
治疗效果:
美白术前:A2/A3

诊室第一次术后:A1-A2

诊室第二次术后:B1

治疗方式:诊室美白治疗两次,中间间隔7-14天。牙釉质表面粘结剂是否去除完全,釉质表面需恢复一段时间。正畸托槽至少摘除一个月后方可进行牙齿美白。
当面型发生改变以及牙齿变齐变白时,小女孩和妈妈都非常的高兴,觉得所有的付出和辛苦都是值得的。
我们通过牙齿矫正,不仅解决了小女孩牙齿排列和牙黄的问题。最重要的是,小女孩收获了完美的脸型,从丑小鸭蜕变为美丽的白天鹅!
从此,她变得更加自信,更加的阳!而且立志也要成为一名牙齿矫正医生,把自己的美丽传递给更多的人!
扫描二维码,关注预约有好礼!
x